
Adaptif Radyoterapi ve Kişiye Özel Radyasyon Tedavisi Yaklaşımları
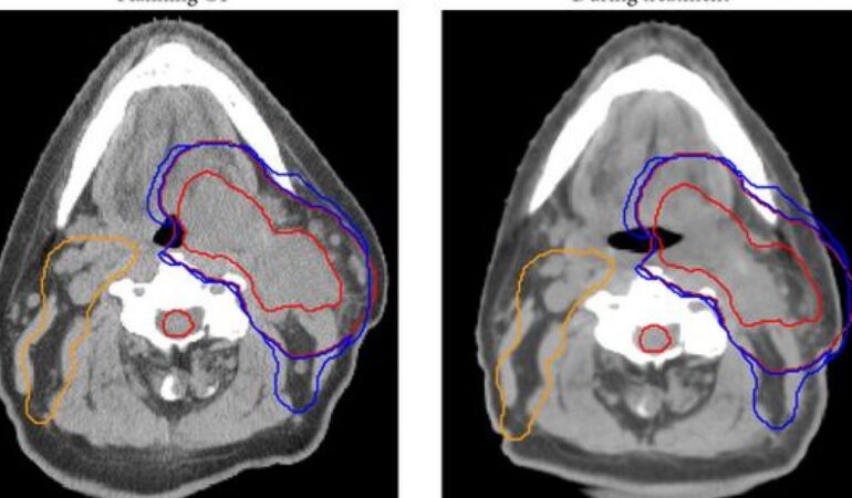
Adaptif radyoterapi, radyasyon tedavisi sürecinde hastaya ait anatomik ve klinik değişimlerin düzenli olarak değerlendirilmesine ve tedavi planının bu değişimlere göre yeniden ele alınmasına olanak tanıyan bir yaklaşımdır. Bu yöntem, kişiye özel radyoterapi anlayışının bir parçası olarak değerlendirilir ve tedavi sürecinin daha kontrollü, izlenebilir ve esnek bir biçimde planlanmasına katkı sağlamayı amaçlar.
Radyoterapi, kanser tedavisinde uzun yıllardır kullanılan temel yöntemler arasında yer alır. Ancak tedavi süreci boyunca hastanın anatomik yapısında, hedeflenen alanın konumunda veya çevre dokularla olan ilişkilerinde değişimler meydana gelebilir. Bu değişimler, başlangıçta oluşturulan tedavi planının zaman içinde yeniden gözden geçirilmesini gerektirebilir. Adaptif radyoterapi, bu gereksinimi karşılamaya yönelik bir yaklaşım sunar.
Adaptif yaklaşımda, tedavi süreci statik bir plan üzerinden ilerlemek yerine, belirli aralıklarla yapılan görüntüleme ve klinik değerlendirmeler doğrultusunda ele alınır. Böylece radyasyon tedavisi, hastaya ait güncel veriler ışığında değerlendirilmiş olur. Bu yönüyle adaptif radyoterapi, radyasyon tedavisinin dinamik bir süreç olarak ele alınmasını sağlar ve tedavi sürecine dair klinik kararların daha bütüncül biçimde değerlendirilmesine katkıda bulunur.
Adaptif Radyoterapi Nasıl Uygulanır?
Adaptif radyoterapi nasıl uygulanır? sorusu, bu tedavi yaklaşımı hakkında bilgi arayan hastalar tarafından sıkça sorulmaktadır. Uygulama süreci, tedavi öncesinde hastaya ait görüntüleme verilerinin alınması ve bu veriler doğrultusunda kişiye özel bir radyoterapi planının oluşturulmasıyla başlar.
Tedavi süreci ilerledikçe, belirli aralıklarla yapılan görüntüleme ve klinik değerlendirmeler sayesinde hastanın anatomik yapısında veya hedeflenen alanda meydana gelen değişimler izlenir. Bu değerlendirmeler sonucunda, gerekli görülen durumlarda mevcut tedavi planı yeniden ele alınabilir ve güncellenebilir.
Adaptif radyoterapi uygulamaları, ileri görüntüleme sistemleri ve planlama yazılımlarıyla desteklenen bir altyapı gerektirir. Süreç boyunca hasta takibi ve bilgilendirme önemli bir yer tutar. Uygulamanın kapsamı ve sıklığı, klinik gereklilikler doğrultusunda belirlenir ve her hasta için farklılık gösterebilir.
Görüntü Kılavuzlu Radyoterapi (IGRT)
Görüntü kılavuzlu radyoterapi (IGRT), radyoterapi uygulamaları sırasında hedeflenen alanın görüntüleme yöntemleriyle doğrulanmasına olanak tanıyan bir yaklaşımdır. IGRT, tedavi öncesinde veya tedavi esnasında alınan görüntüler aracılığıyla hastanın pozisyonunun ve hedef alanın planlanan konumda olup olmadığının değerlendirilmesini amaçlar.
Radyoterapi sürecinde organ hareketleri veya günlük pozisyon farklılıkları ortaya çıkabilir. IGRT, bu tür değişimlerin fark edilmesine ve tedavi uygulamasının klinik gereklilikler doğrultusunda değerlendirilmesine katkı sağlar. Bu yönüyle IGRT, adaptif radyoterapi yaklaşımının önemli bileşenlerinden biri olarak ele alınır.
IGRT uygulamaları, her hasta için standart değildir. Hangi durumlarda görüntü kılavuzlu radyoterapinin değerlendirileceği, hastaya ait klinik veriler ve tedavi planı doğrultusunda belirlenir. Bu yöntem, radyoterapi sürecinin daha kontrollü ve izlenebilir biçimde yürütülmesine destek sunar.
IMRT ve Adaptif Planlama
IMRT (Yoğunluk Ayarlı Radyoterapi), radyasyon dozunun hedeflenen alana farklı yoğunluklarda uygulanmasına olanak tanıyan ileri bir radyoterapi tekniğidir. Bu yöntem, hedef alanın şekline daha uyumlu bir doz dağılımı oluşturulmasını amaçlar ve radyoterapi planlamasında hassasiyetin artırılmasına katkı sağlar.
IMRT ve adaptif planlama, birlikte ele alındığında tedavi sürecinin daha esnek biçimde değerlendirilmesine olanak tanır. Tedavi süreci boyunca hastanın anatomik yapısında veya hedeflenen alanda meydana gelebilecek değişimler, adaptif planlama yaklaşımıyla göz önünde bulundurulabilir. Bu sayede başlangıçta oluşturulan IMRT planı, klinik gereklilikler doğrultusunda yeniden değerlendirilerek güncellenebilir.
Adaptif planlama, radyoterapi sürecinin sabit bir plan üzerinden ilerlemesi yerine, hastaya ait güncel veriler ışığında ele alınmasını sağlar. Ancak bu yaklaşım, her hasta için rutin olarak uygulanmaz. Hangi durumlarda IMRT ve adaptif planlamanın birlikte değerlendirileceği, klinik bulgular ve bilimsel veriler doğrultusunda belirlenir.
Adaptif Radyoterapi Hangi Durumlarda Değerlendirilir?
Adaptif radyoterapi hangi durumlarda değerlendirilir? sorusu, tedavi planlaması aşamasında sıkça gündeme gelen başlıklardan biridir. Adaptif radyoterapi, tedavi süreci boyunca hastanın anatomik yapısında veya hedeflenen alanda değişim beklenen klinik durumlarda ele alınabilir.
Bu yaklaşım; tümör hacminde küçülme veya değişim olasılığı bulunan durumlarda, tedavi alanına yakın hassas organların korunmasının önemli olduğu senaryolarda veya hastanın anatomik yapısında zaman içinde farklılık oluşabileceği öngörülen durumlarda değerlendirilebilir. Ancak adaptif radyoterapi, her hasta için standart bir yöntem değildir.
Hangi hastalarda adaptif radyoterapinin uygun olacağı, hastalığın özellikleri, tedavi sürecinin seyri ve hastaya ait klinik veriler birlikte değerlendirilerek belirlenir. Bu süreçte klinik gereklilikler ve bilimsel kılavuzlar esas alınır.
Radyoterapide Yan Etkiler ve Adaptif Yaklaşım
Radyoterapi yan etkileri, tedavi süreci hakkında bilgi arayan hastalar tarafından en sık araştırılan konular arasında yer alır. Yan etkilerin türü ve şiddeti; uygulanan radyasyon dozu, tedavi alanı, çevre dokular ve hastaya ait bireysel özelliklere bağlı olarak değişkenlik gösterebilir.
Adaptif radyoterapi yaklaşımı, tedavi planının belirli aralıklarla yeniden değerlendirilmesine olanak tanıdığı için yan etkilere ilişkin klinik izlemin daha yakından yapılabilmesine katkı sağlar. Tedavi sürecinde ortaya çıkabilecek anatomik değişimler, adaptif planlama sayesinde dikkate alınabilir ve mevcut plan gözden geçirilebilir.
Ancak adaptif radyoterapi, yan etkileri tamamen ortadan kaldıran veya her hastada daha az yan etki sağlayan bir yöntem olarak değerlendirilmez. Yan etkilere ilişkin değerlendirme, klinik izlem ve hasta bilgilendirmesi ile birlikte ele alınır. Bu süreçte amaç, tedavi sürecinin kontrollü ve hasta özelinde değerlendirilmesidir.
Adaptif Radyoterapide Kullanılan Teknolojiler
Adaptif radyoterapide kullanılan teknolojiler, tedavi sürecinin hassas ve kontrollü biçimde yürütülmesini destekleyen ileri teknik altyapıları kapsar. Bu teknolojiler, tedavi planının oluşturulması, uygulanması ve gerektiğinde yeniden değerlendirilmesi aşamalarında önemli bir rol üstlenir.
Adaptif yaklaşım, gelişmiş görüntüleme sistemleri ve planlama yazılımlarıyla desteklenen bir radyoterapi altyapısı gerektirir. Bu sayede tedavi sürecinde ortaya çıkabilecek anatomik değişimler daha yakından izlenebilir ve klinik değerlendirmeye dâhil edilebilir.
Radyoterapi Cihazları
Radyoterapi cihazları, adaptif planlama ve görüntü kılavuzlu uygulamaları destekleyecek teknik donanıma sahip olacak şekilde tasarlanmıştır. Bu cihazlar, radyasyon dozunun planlanan alana uygun şekilde yönlendirilmesine ve tedavi sürecinin izlenmesine olanak tanır.
Kullanılan cihazların özellikleri, planlanan tedavi yaklaşımına ve klinik gerekliliklere göre değerlendirilir. Her hasta için aynı cihaz veya teknik kullanılmayabilir.
Gelişmiş Görüntüleme Sistemleri
Gelişmiş görüntüleme sistemleri, adaptif radyoterapinin temel bileşenleri arasında yer alır. Tedavi öncesi ve sırasında kullanılan bu sistemler, hedef alanın ve çevre dokuların güncel durumunun değerlendirilmesine katkı sağlar.
Bu görüntüleme verileri, adaptif planlama sürecinde mevcut tedavi planının gözden geçirilmesine yardımcı olur. Böylece radyoterapi süreci, hastaya ait güncel klinik veriler doğrultusunda ele alınabilir.
Adaptif Radyoterapi Süreci ve Klinik Değerlendirme
Adaptif radyoterapi süreci, tedavi öncesi değerlendirme, kişiye özel planlama, uygulama ve izlem aşamalarını kapsayan çok yönlü bir süreçtir. Bu süreçte hastaya ait klinik bilgiler, görüntüleme sonuçları ve tedavi sürecinde ortaya çıkabilecek değişimler birlikte ele alınır. Amaç, radyoterapi uygulamasının hasta özelinde değerlendirilmesini sağlamaktır.
Tedavi öncesinde yapılan değerlendirmeler, hangi radyoterapi yaklaşımının uygun olabileceğinin belirlenmesine yardımcı olur. Tedavi süreci boyunca ise belirli aralıklarla yapılan klinik ve görüntüleme değerlendirmeleri sayesinde mevcut plan gözden geçirilebilir. Gerekli görülen durumlarda planlama süreci yeniden ele alınır.
Dr. Hasan Morcalı tarafından yürütülen radyasyon onkolojisi hizmetlerinde, adaptif radyoterapi yaklaşımı klinik gereklilikler doğrultusunda değerlendirilir. Süreç boyunca hasta bilgilendirmesi ve izlem ön planda tutulur; tüm değerlendirmeler bilimsel ve etik ilkeler çerçevesinde ele alınır.
👉 Adaptif radyoterapi uygulamaları ve klinik değerlendirme süreci hakkında genel bilgi almak için iletişime geçilebilir.
Tedavilerimiz
Çalışma Saatlerimiz
- 10:00-17:00
- 10:00-17:00
- 10:00-17:00
- 10:00-17:00
- 10:00-17:00
- 10:00-18:00
Bizden Haberler
Sık Sorulan Sorular (SSS)
Adaptif radyoterapi klasik radyoterapiden farklı mıdır?
Adaptif radyoterapi, tedavi sürecinin belirli aralıklarla yeniden değerlendirilmesine imkân tanıması açısından klasik radyoterapi yaklaşımlarından ayrılır. Ancak hangi yöntemin hangi hastada değerlendirileceği, klinik gereklilikler doğrultusunda belirlenir.
Adaptif radyoterapi kimlere uygulanır?
Adaptif radyoterapi, her hasta için standart bir uygulama değildir. Bu yaklaşım; tedavi sürecinde anatomik değişim beklenen veya hedef alanın hassasiyetinin önem taşıdığı klinik durumlarda değerlendirilebilir. Uygunluk, klinik değerlendirme süreci sonunda belirlenir.
Adaptif radyoterapi nasıl uygulanır?
Adaptif radyoterapi, tedavi öncesinde yapılan planlama ile başlar. Tedavi süreci boyunca belirli aralıklarla yapılan görüntüleme ve klinik değerlendirmeler sayesinde mevcut plan gözden geçirilebilir ve gerekli görülen durumlarda yeniden ele alınabilir.
Görüntü kılavuzlu radyoterapi (IGRT) nedir?
IGRT, radyoterapi sırasında hedef alanın ve hastanın pozisyonunun görüntüleme yöntemleriyle doğrulanmasını sağlayan bir yaklaşımdır. Adaptif radyoterapi uygulamalarında önemli bir destekleyici bileşen olarak değerlendirilir.
IMRT ile adaptif radyoterapi birlikte kullanılabilir mi?
IMRT (Yoğunluk Ayarlı Radyoterapi), adaptif radyoterapi yaklaşımıyla birlikte değerlendirilebilen bir tekniktir. Bu iki yaklaşımın birlikte ele alınması, tedavi planının klinik gereklilikler doğrultusunda değerlendirilmesine olanak tanır.
Adaptif radyoterapi yan etkileri azaltır mı?
Adaptif radyoterapi, yan etkileri tamamen ortadan kaldıran bir yöntem değildir. Ancak tedavi sürecinin daha yakından izlenmesine ve planın gerektiğinde yeniden değerlendirilmesine olanak tanıdığı için klinik izlem sürecine katkı sağlar.
Adaptif radyoterapi güvenli midir?
Adaptif radyoterapi uygulamaları, belirlenen klinik protokoller ve güvenlik standartları çerçevesinde ele alınır. Tedavi sürecinde hasta takibi, bilgilendirme ve klinik izlem önemlidir.
Adaptif radyoterapi süreci ne kadar sürer?
Adaptif radyoterapi sürecinin süresi, planlanan radyoterapi programına ve hastaya ait klinik özelliklere göre değişkenlik gösterebilir. Süre, tedavi planlaması aşamasında değerlendirilir.
Dr. Hasan Morcalı adaptif radyoterapiyi nasıl değerlendirir?
Dr. Hasan Morcalı, adaptif radyoterapi yaklaşımını radyasyon onkolojisi kapsamında, klinik gereklilikler ve bilimsel veriler doğrultusunda ele alır. Süreç boyunca hasta bilgilendirmesi ve izlem ön planda tutulur.
Adaptif radyoterapi hakkında nasıl bilgi alınabilir?
Adaptif radyoterapi uygulamaları ve değerlendirme süreci hakkında genel bilgi almak isteyen hastalar, Dr. Hasan Morcalı’nın kliniği ile iletişime geçebilir.




